De tre hyppigst forekommende nyrecellekarsinomene er: Klarcellet nyrecellekarsinom (70–80 %), papillært nyrecellekarsinom (10–15 %), som ikke lenger deles inn i type I og II, og kromofobt nyrecellekarsinom (4–5 %). Videre finnes samlerør/collecting duct-karsinom som utgjør en meget liten gruppe, < 0,5 %, men de er meget aggressive og med en dårlig prognose.
Utover de vanlige subtypene av nyrecellekarsinomer beskrevet i 2022 WHO klassifikasjonen, utgjør andre typer nyresvulster ca. 10 %. Flere av disse er relativt sjeldne, noen sporadiske og andre familiære karsinomer. Andre går inn under «ikke klassifiserbare karsinomer». I noen tilfeller behandles disse annerledes enn de tre hyppigste nyrecellekarsinomene (se kapittel om arvelig nyrekreft og EAU retningslinjer (uroweb.org)). Man bør spesielt tenke på disse hos unge pasienter og morfologi som ikke er helt typisk for de vanlige subtypene.
Det tidligere Fuhrman graderingssystemet er erstattet av det såkalte WHO/ISUP graderingssystemet, som kun vurderer nukleolen, og er implementert og validert for klarcellet og papillært nyrecellekarsinom (Moch et al., 2016).

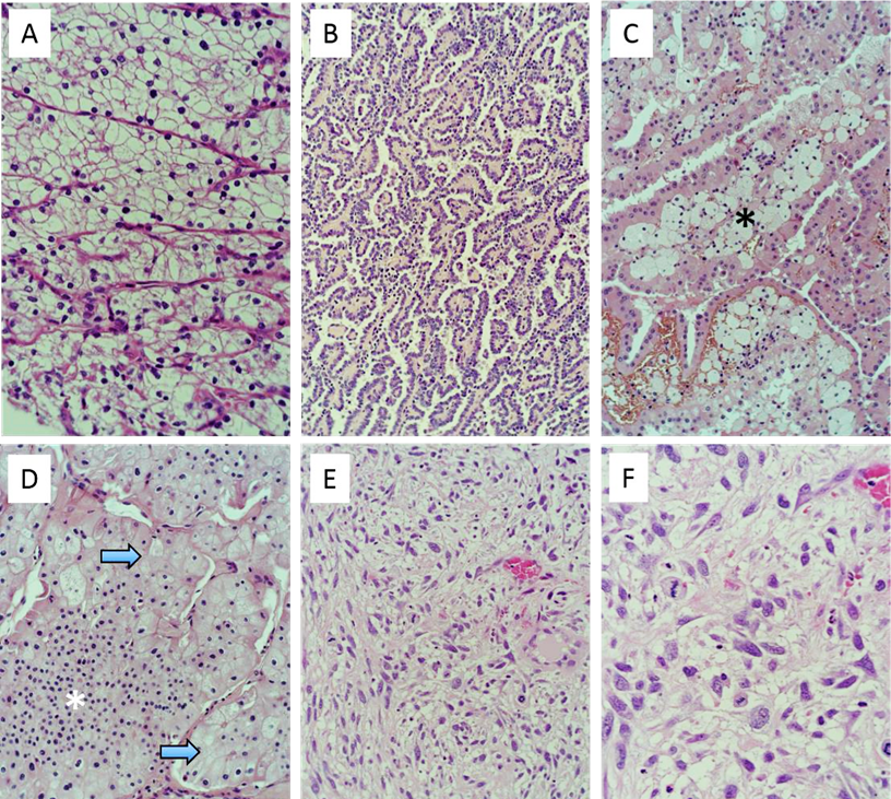
- Klarcellet nyrecellekarsinom med karakteristisk «tomt» cytoplasma og rikelig med kapillærer.
- Papillært nyrecellekarsinom (tidligere type 1) med papillære strukturer, celler med lite cytoplasma og runde cellekjerner, dvs. liten kjernepleomorfi.
- Papillært nyrecellekarsinom (tidligere type 2) bestående av celler med rikelig cytoplasma og større cellekjerner med stor variasjon i kjernestørrelse dvs. uttalt kjernepleomorfi. Fokalt sees for papillært nyrecellekarsinom karakteristisk intrapapillær ansamling av skumcellemakrofager (*).
- Kromofobt nyrecellekarsinom med klassisk morfologi – store cytoplasmarike celler, planteceller. Disse ligger i direkte tilslutning til blodkarene (pil). Innenfor disse sees mindre celler med eosinofilt cytoplasma (*).
- Sarkomatoid form av klarcellet nyrecellekarsinom. Spolformete, fibroblastliknende celler med uttalt kjernepleomorfi.
- Høyere forstørrelse av E. som viser kjernepleomorfi og mitoser. Sarkomatoid differensiering kan utvikles i alle former av nyrecellekarsinom og graderes alltid til WHO–ISUP 4.
ISUP graderingssystemet for klarcellet og papillært nyrecellekarsinom

- Grad 1: Nukleoli er lite iøynefallende eller fraværende ved 400x forstørrelse.
- Grad 2: Nukleoli er lett synlige ved 400x forstørrelse, men ikke prominente.
- Grad 3: Nukleoli er prominente og lett synlige ved 100x forstørrelse.
- Grad 4: Tilstedeværelse av «Tumor giant cells» og/eller markert kjernepleomorfi.
- Grad 4: Sarkomatoid karsinom.
- Grad 4: Karsinom med rhabdoid differensiering (Delahunt et al., 2013).
Papillært adenom
Papillært adenom er en benign, kortikal svulst med papillær, tubulær eller tubulo-papillær morfologi, uten pseudokapsel og med størrelse under eller lik 15 mm (Moch et al., 2016).
Onkocytom
Onkocytom er en benign svulst som utgjør 3–7 % av solide nyresvulster. Nålebiopsi før eventuell kirurgisk intervensjon er en mulighet. Det er imidlertid vist at diagnosen onkocytom stilt på nålebiopsi, opprettholdes i kun 64,6 % etter kirurgi (Patel et al., 2017). Resten av svulstene viste seg overveiende å være kromofobe nyrecellekarsinomer. Da kromofobe nyrecellekarsinomer ofte er morfologisk heterogene, med områder morfologisk uatskillelige fra onkocytom, anbefales forsiktighet med å avgi diagnosen onkocytom på biopsi. Det anbefales heller å angi «Onkocytær renal neoplasi» med en kommentar om at bildet er forenlig med onkocytom gitt at materialet er representativt for hele lesjonen (EAU sine retningslinjer avsnitt 5.3 (uroweb.org)).
Noen svulster har overlappende morfologiske trekk mellom onkocytom og eosinofil variant av kromofobt nyrecellekarsinom. Det er foreslått å bruke benevnelsen «Onkocytær renal neoplasi av lavt malignitetspotensiale» i slike tilfeller. Varianter av betegnelsen «Hybrid onkocytær tumor» er brukt ulikt i litteraturen og foreslås forbeholdt hereditære svulster med blandet morfologi (mosaikk mønster) (Trpkov et al., 2021).