Definisjon
Maligne svulster utgått fra germinalceller eller stromaceller i ovariet.
Histopatologi
«WHO Classification of Tumours, Female Genital Tumours, IARC 2020, 5th edition»
Germinalcelletumores
- Teratomer (modne, umodne, monodermale, malign transformerte)
- Dysgerminom
- Plommesekktumor
- Embryonalt karsinom
- Choriokarsinom
- Blandede former
- Germinalcelle – sex cord-stromale tumores: Gonadoblastom, uklassifisert blandet germinalcelle – sex cord-stromal tumor
Sex cord-stromale tumores
- Stromale tumores: fibrom, tekom, luteinisert tekom med skleroserende peritonitt, skleroserende stromal tumor, mikrocystisk stromal tumor, signet-ring stromal tumor, Leydigcelletumor, steroid celle tumor, fibrosarkom
- Sex cord tumores: Granulosacelletumor av adult type, Granulosacelletumor av juvenil type, Sertolicelletumor, sex cord tumor med anulære tubuli
- Sex cord-stromale tumores: Sertoli-Leydigcelletumor, sex-cord stromal tumor NOS, Gynandroblastom
Forekomst og overlevelse
- Insidens maligne tumores i Norge: ca 45 tilfelle pr år (ca 10 % av all ovarialcancer).
- Det rapporteres 98 % 5-årsoverlevelse ved stadium I og 95 % 5-års overlevelse ved avansert sykdom (D. M. Gershenson, 1993, 2007; Peccatori et al., 1995). Ved residiver er prognosen generelt dårlig.
- Det er rapportert normal fertilitet og 96 % 5-års overlevelse etter fertilitetsbevarende operasjon og 3 kurer med BEP (Brewer et al., 1999). Det er ikke rapportert økt forekomst av fosteranomalier (D. M. Gershenson, 2007).
Germinalcelletumorer
(Berek & Hacker, 2010)
Germinalceller (kimceller) kan utvikles til enten fosterliknende eller placentaliknende strukturer, vokse udifferensiert (dysgerminom) eller etterlikne extraembryonale strukturer (plommesekktumor). Germinalcelletumores er en heterogen gruppe med mange forskjellige tumortyper. De maligne teratomer er svært sjeldne.
- Forekommer fortrinnsvis hos yngre og sees sjelden hos kvinner over 30 år.
- Utgjør cirka 3 % av all ovarialcancer. Hos kvinner under 20 år vil cirka 70 % av alle ovarialtumorer være germinalcelletumorer – hvorav 1/3 er maligne (Berek & Hacker, 2010).

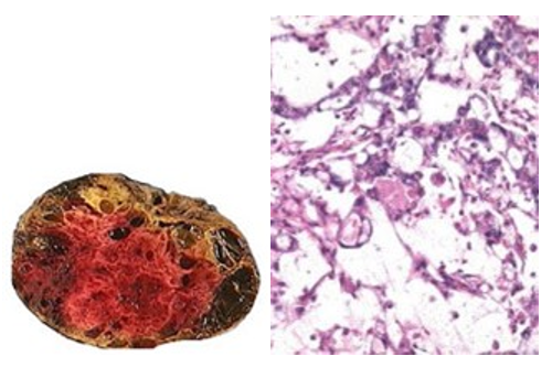
Lysmikroskopibilde av tumoren på bildet til venstre.
- Dysgerminom – utgjør den hyppigste formen for malign germinalcelletumor. Cirka 5 % opptrer hos fenotypiske kvinner med abnorme gonader, for eksempel 46XY (bilaterale strekgonader), 46XX/46XY (unilateral streggonade, contralateral testis) eller 46XY (testiculær feminization). Det anbefales å gjøre karyotype-bestemmelse på alle pre menarche pasienter med bekkentumor.
- Plommesekktumor. Disse produserer som oftest alfa-føto protein (AFP).
- Embryonalt karsinom.
- Choriokarsinom oppstår vanligvis fra trofoblastvev, men kan også oppstå fra germinalcelletumorer, enten i ren form eller som komponenter i en blandet tumor og produserer alltid hCG.
- Teratom
- Malign (somatisk) transformasjon av et modent teratom er sjelden.
Den hyppigste form er utvikling av et plateepitelkarsinom i et modent teratom.
- Malign (somatisk) transformasjon av et modent teratom er sjelden.
-
- Umodne teratomer inneholder vev som likner på vev utviklet fra embryo.
De graderes (1–3) etter mengde umodent neuroektodermalt vev.
- Umodne teratomer inneholder vev som likner på vev utviklet fra embryo.
- Mixed/blandede tumores er svulster hvor det i noen tilfeller forekommer en blanding av forskjellige komponenter i samme tumor.
Stromacelletumores
(Berek & Hacker, 2010)
- Utgjør 5–8 % av alle ovarialcancertilfeller.
- Granulosacelletumores utgjør ca 70 %. De sees i alle aldersklasser og deles i en adult (95 %) og en juvenil form (5 %) (Colombo, Parma, Zanagnolo, & Insinga, 2007).
Etiologi (epidemiologi)
- Ukjent
Risikofaktorer
- Dysgerminomer forekommer med økt hyppighet hos kvinner med dysgenetiske gonader (testikulær feminisering og Turners syndrom).